Conservation Council of Western Australia stresses importance of submissions to strengthen environmental protection
K-A Garlick Nuclear Free WA Campaigner, 10 Apr 20, The webinar, Yeelirrie – A Case for Environmental Law Reform was a great success, with a wealth of information from our four stellar speakers, on the urgent need for improved environmental laws using Yeelirrie as a case study for environmental law reform. We reviewed the Yelirrie uranium mine assessment process and how we can improve the agility in the Commonwealth environment department to identify and classify threatened and endangered species.
If you missed the webinar or would like to see the highlights again ~ click here for some great information to help you form your submission to the EPBC Act review.
Keynotes from the webinar, include;
- The importance of retaining the prohibition of nuclear power and the retention of uranium exploration and mining and the inclusion of nuclear actions as a matter of national environmental significance (MNES) under the EPBC Act,
- Environmental protection laws should protect against the extinction of species,
- Opportunity to introduce a merits review in a reformed EPBC Act as an independent, expert court or tribunal to ensure worlds best practice for community participation, accountability and environmental protection,
- We need an independent authority to administer the EPBC Act,
- We need increased open and transparent assessment processes, and
- We need a national EPA as there is no equivalent body at the federal level. A national EPA could undertake independent and technically expert assessments of projects, ensuring that the scientific evidence is put into focus.
The push for the nuclear industry and the Minerals Council of Australia to remove the prohibition on nuclear power and to remove the trigger for uranium mining is a serious push and real threat.
To retain these parts of the EPBC Act we encourage you to write a submission.
The new dont-nuke-the-climate website is a great tool to help you understand the nuclear issues and threat. There is a really useful nuclear ban page, to support your submission writing.
Submissions are due 17 April 2020.
Make a submission to the The Independent Review of the Environment Protection and Biodiversity Conservation Act 1999
- Via the Department: make a submission using the online form here.
- Via email: epbcreview@environment.gov.au
- Via post: EPBC Act Review Secretariat, Department of the Environment and Energy. GPO Box 787, CANBERRA ACT 2601
The committee ask that you complete and submit this cover page with any submission via e-mail or post. All submissions that include this cover sheet will be considered by the review.
Bob Phelps’ submission: There is no valid case for the planned national nuclear waste facility at Kimba
Bob Phelps, 9 Apr, 20 The federal government’s proposed changes to the National Radioactive Waste Management Act are unfair, undemocratic and dangerous.
There is no valid case on safety or security grounds for the planned national nuclear waste facility at Kimba. The necessary infrastructure, resources and expertise for nuclear operations and waste management are all located at Lucas Heights and transferring the waste component of the system to a remote location at Kimba is a recipe for disaster in the medium and long term – up to 10,000 years from now, in the case of intermediate waste. Synroc failed and there is no credible alternative disposal proposal.
The traditional owners of the land were also disrespected and excluded from the purportedly public and democratic approval process. All citizens of Australia have a stake in the successful resolution of our national nuclear waste problems yet we were not consulted either.
My objections to the proposed Bill and its proposed changes to the Act specifically include that it would:
o compromise judicial review of the government’s site selection plans currently available
o enable unfair and undemocratic ‘consultations’ that reduce the rights and options of Barngarla Traditional Owners’ and other directly impacted parties
o render key environmental, cultural and heritage protection laws irrelevant to the decisions
o make no clear or compelling case for transferring long-lived intermediate level waste (ILW) from secure to insecure storage, at substantial additional public expense
o provide far less certainty about the final fate and long-term management of Australia’s radioactive waste
o be inconsistent with international best practice for containment, siting, transport, and temporary storage of radioactive wastes
o ignores long-standing South Australian laws that prohibit a federal radioactive waste facility
Nuclear waste containment continues to fail globally and there are no safe, secure or permanent repositories for nuclear waste anywhere. There is no justification at all for taking such wastes out of Lucas Heights, where they continue to be produced. It is also the best repository for lower level created in hospitals and other facilities nationally.
The Kimba nuclear waste dump and temporary storage, with no future plan, is a short term and fatally flawed proposal that does not serve the public interest.
I ask the Committee to reject the proposed changes to the current Act and to recommend a complete review of all nuclear waste and related operations, to best achieve robust and sustainable radioactive waste management for Australia, for the long-term future.
University boffins discuss the eternal problem of nuclear wastes
Part of the show The Rise of Radioactivity
Chris – So what you’re saying is, if we’ve got say something that looks like glass, because it’s spitting out all these energetic particles of radiation all the time, it’s slowly going to shatter the glass. It’s almost like shaking the glass very, very hard for hundreds of thousands of years; it’s eventually going to fall to pieces and it will no longer be any good at retaining and constraining the radioactive products inside.
Adam – How do we design something in the future so that this stuff stays where it is, and isn’t archeologist bait, and they suddenly dig up a radioactive cube of glass?
Why Australia needs to aim for at least 75% renewables by 2030 — RenewEconomy
A high renewables grid is essential for Australia to meet its share of climate goals, and help reductions in other sectors. But it needs to happen fast. The post Why Australia needs to aim for at least 75% renewables by 2030 appeared first on RenewEconomy.
via Why Australia needs to aim for at least 75% renewables by 2030 — RenewEconomy
COVID-19 First Outbreak — Viral Glass-Like Nodules in Lungs — robertscribbler
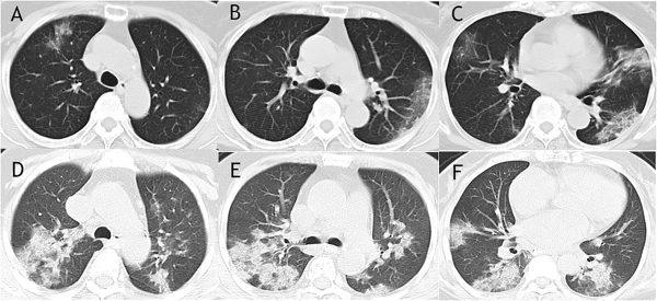
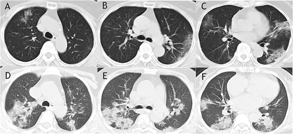
Comparison of lungs of a Wuhan patient who survived COVID-19 — image A-C — to those of a patient who suffered death from the illness — image D-F. Both image sets show the tell-tale ground glass like opacities of COVID-19 in lungs. Image source: Association of Radiologic Findings.
“The chances of a global pandemic are growing and we are all dangerously underprepared.” — World Health Organization in a September 18, 2019 statement mere months before the COVID-19 outbreak. “There’s a glaring hole in President Trump’s budget proposal for 2019, global health researchers say. A U.S. program to help other countries beef up their […]
via COVID-19 First Outbreak — Viral Glass-Like Nodules in Lungs — robertscribbler
April 8 Energy News — geoharvey
Opinion: ¶ “Rock Bottom: How COVID-19 Has Shattered The Oil Industry” • The spread of Covid-19 poses a significant threat to the global oil and gas industry. The increasingly drastic action taken to reduce the spread of the virus interferes with many of the sector’s key processes, and the uncertainty of the pandemic only worsens […]
Cleantech startups get a boost with ARENA funding for EnergyLab — RenewEconomy
ARENA tips in $480,000 into new EnergyLab start-up fund that will support new innovative clean tech businesses enter the Australian market. The post Cleantech startups get a boost with ARENA funding for EnergyLab appeared first on RenewEconomy.
via Cleantech startups get a boost with ARENA funding for EnergyLab — RenewEconomy
Big win for fossil fuels as regulators seek 12 month delay on 5-minute rule change — RenewEconomy
Big win for incumbent fossil fuel generators as regulators argue that Covid-19 pandemic requires 12-month delay to crucial market reform that would encourage more competition from batteries. The post Big win for fossil fuels as regulators seek 12 month delay on 5-minute rule change appeared first on RenewEconomy.
via Big win for fossil fuels as regulators seek 12 month delay on 5-minute rule change — RenewEconomy













